LICÓWKI
Licówki, czyli ultracienkie płatki materiału porcelanowego lub kompozytowego przyklejane na stałe na widoczną (przednią) powierzchnię zęba. Pozwala to na zmianę koloru i kształtu zęba.
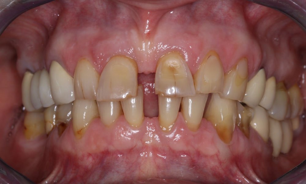
METAMORFOZA
Pacjentka w wieku 55 lat, zgłosiła się na kompleksowe leczenie celem całkowitej metamorfozy uśmiechu. Najbardziej zależało jej na zamknięciu diastemy – przerwy pomiędzy jedynkami, której nigdy nie zaakceptowała.
Ze względu na wiek, nie chciała się poddać leczeniu ortodontycznemu. Przeprowadzono leczenie zachowawcze, po zakończeniu którego, u pacjentki wszczepiono implanty, zastosowano odbudowy cerkonowe w odcinakach bocznych aby finalnie oszlifować zęby w strefie estetycznej na górze oraz na dole i zacementować licówki porcelanowe.
Kiedy stosuje się licówki?
To metoda stosowana często na zębach przednich z powodu widocznych przebarwień, a także na zębach lekko ukruszonych, ułamanych lub startych. Licówki stosuje się także w celu przysłonięcia szpary międzyzębowej (diastemy). Jest to również metoda korekty kształtu zęba. Dzięki zastosowaniu licówek pacjenci zyskują „hollywoodzki uśmiech”.



Na te cechy licówek szczególnie warto zwrócić uwagę.
- Trwałość – określa się na wiele lat
- Licówki łączą się z tkankami przyzębia i wykazują dużą odporność na ścieranie.
- Szybki efekt estetyczny.
Przeczytaj także o innych metodach leczenia:

